设为首页
热点推荐:
媒体支持
人民网、新华网、中新网、中国网、央视网、环球网、央广网、光明网、凤凰网、新浪网、搜狐网、中国政府网、中国新闻网...
活动流程
中国卫生健康网是经国家工信部门批准备案(备案号:19026317号-1)的信息服务平台,于2010年在国家卫生健康行业相关部门和领导的支持指导下创办,前身是卫生部卫生经济研究所下属行业网站。研究所于1991年经国家编委批准成立,是隶属于卫生部的国家级研究机构,是国家级技术咨询和智囊机构。后行政机关脱钩改革后网站独立运营,多年来始终致力于... 更多详情
评选标准
调查活动组委会
新闻中心您所在的位置是:首页 >> 新闻中心
13岁患儿随时窒息!迎难而上,多学科协作为其切除巨大纵隔肿物[ 2023-8-21] 作者:中国卫生健康网 字号:() () 阅读量:205276

“陈主任,病人情况很不好,血氧只能勉强维持,我们想在病房纤支镜引导下先把管插上,您有空上来一起帮忙?我们还请了呼吸科。”8月10日7点56分,广东药科大学附属第一医院麻醉科陈建颜主任接到心胸外科肖海平主任的电话,声音急迫。“行,没问题!”陈主任立即答应下来。

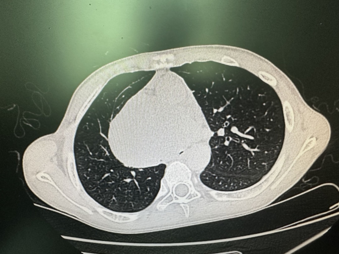
这名13岁患儿,陈主任非常清楚,是一名巨大纵隔肿瘤患者,病情进展迅速,肿瘤基本占据了整个中纵膈,压迫了气管,隆突及双侧支气管,其中右支气管完全被压瘪,仅剩左支气管残余不到10%口径的管腔勉强维持氧合。现在患者已端坐位呼吸,三凹征,随时有窒息风险。9日下午针对此患者已行全院多学科会诊,为保障患者安全,专家建议备好ECMO(体外膜肺氧合)。

幸亏经过病房积极处理,患儿血氧回升。然而到了11点左右,险情又再度出现,患儿因呼吸道压迫极度烦躁不安,血氧很难维持。此时各学科专家已到位,肖海平主任要求紧急手术,麻醉科陈主任接到肖主任电话后,立即带领麻醉团队开始全力运转。

患儿麻醉风险不言而喻,随时可能发生窒息,为了防止使用肌松剂可能带来的肿瘤压迫风险,必须保留自主呼吸;但是即便顺利插入气管导管,尽可能多的越过气管受压部位到达隆突,也存在不能维持氧合的风险,因为患儿仅存左支气管不到10%口径的的管腔维持通气。

整个手术室气氛紧张压抑,麻醉科陈建颜主任面对压力迎难而上,带领麻醉团队开始有条不紊的进行麻醉诱导。陈宗副主任医师一边安抚患儿一边给患儿面罩吸氧,充分去氮,粟坤医生在患儿端坐位进行桡动脉穿刺测压,詹红飞医生在患儿端坐位进行股静脉穿刺置管,为ECMO备出生命通道。一切就绪下,陈主任指导分次给予麻醉药物,保留自主呼吸慢诱导半坐位成功插入ID6.0的气管导管,插管深度26cm,纤支镜下可见气管导管挤过气管受压部位,接近隆突上方。


麻醉诱导成功,患儿血压114/64mmHg,血氧饱和度100%,心率123次/分,至此大家终于松了一口气,手术室气氛开始活跃起来。手术团队在肖海平主任带领下开始消毒铺巾进行手术。然而手术不到10分钟,就在准备劈开胸骨时,患儿血氧开始急剧下降,麻醉机显示气道阻力极大,陈建颜主任考虑平卧位肿瘤压迫所致,立即指示转右侧斜坡位,同时加压手控通气,此时肖主任急行胸骨劈开减压,胸骨劈开近一半时,血氧开始迅速回升,胸骨完全劈开时血氧已回升至100%。手术室一片欢腾,此后患儿血氧一直维持在98%以上,再也没有下降!

劈开胸骨后,巨大的纵膈肿瘤暴露出来,在心胸外科肖海平主任精湛的技艺下,整个手术一气呵成,历时三小时,将肿瘤顺利切除!手术结束后,麻醉医师在纤支镜直视下,将气管导管插管深度退至20cm,送ICU继续治疗。在ICU茹晃耀主任团队精心照料下,术后第一天患儿就顺利转回普通病房,术后第三天拔除气管导管,目前患儿恢复良好!

回溯整个麻醉手术过程,其中麻醉的风险,手术的风险,无处不在,患儿在劈胸骨那一刻血氧最低掉到50%,尤其考验手术团队所有医师的心脏!幸而麻醉医生、手术医生通力配合,互相支持,有惊无险完成手术!

生命所系,性命相托!此例患儿的成功抢救,充分展示了广药麻醉手术团队的水平和担当!广药大附一院麻醉科团队,面对风险,绝不退缩,努力为手术的顺利进行保驾护航,与外科手术团队一起,为拯救生命而不懈努力!在病人坠入黑暗之时,我们依然在追逐那一束生命之光!

勇担健康使命,铸就时代新功!值此医师节之际,向所有救死扶伤的医务工作者致敬!

 

来源:麻醉科(手术室)

编辑:卫晓建

 

 



给我点赞